
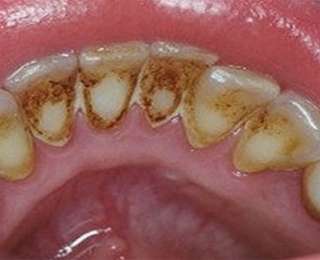
Зубной налет представляет собой скопление пищевых остатков на внутренней и внешней поверхности зубов. Это явление (или даже заболевание) полости рта может спровоцировать появление неприятного запаха изо рта, а также привести к развитию зубного камня.
Зубной налет появляется тогда, когда остатки пищи затвердевают и прочно «приклеиваются» к зубной эмали, как правило, наличие зубного камня сопровождается галитозом (запахом изо рта) и кровоточивостью десен.
И хотя универсального способа предотвратить появление зубного налета не существует, можно все-таки периодически выполнять ряд домашних процедур, чтобы уменьшить скопление пищевых остатков в полости рта и таким образом избежать прогрессирования заболеваний. Хотите узнать больше, тогда наша сегодняшняя статья для вас!
Первое, что мы можем сделать, это скорректировать процесс чистки зубов. Ведь большинство людей, когда чистят зубы, делают это в основном в горизонтальном направлении слева направо, однако это повышает чувствительность зубов и может даже изменить прикус.
Попробуйте чистить зубы в вертикальном направлении, сначала сверху, затем снизу, а те зубы, что находятся в глубине, круговыми движениями, завершать чистку зубов рекомендуется при помощи зубной нити, чтобы удалить остатки пищи в труднодоступных местах.
Еще желательно использовать специальную жидкость дляполоскания рта после чистки зубов и не забывать тщательно промывать свою зубную щетку, чтобы и в ней не осталось никаких инородных частиц.
Примечание: старайтесь менять свою зубную щетку хотя бы 4 раза в год и пользоваться тем зубными пастами, в составе которых имеется фтор.
Измените свой рацион питания
Придерживаться сбалансированного питания — это лучшее, что вы можете сделать, чтобы позаботиться о своем здоровье в целом и о здоровье полости рта в частности.
Старайтесь не злоупотреблять сахаром и углеводами, не пить газированные напитки, а также те, что имеют темный цвет. Если вы все-таки их потребляете, то делайте это через трубочку или соломку, чтобы избежать прямого контакта напитков с зубной эмалью .
Также не стоит увлекаться и мучными изделиями, после их потребления желательно еще раз чистить зубы, чтобы предотвратить развитие бактериальных инфекций и других заболеваний полости рта.
Что можно сделать, чтобы позаботиться о здоровье полости рта?
Домашние средства иногда бывают очень эффективными и полезными в случае борьбы с зубным налетом и некоторыми заболеваниями полости рта, но очень важно не переусердствовать с ними, чтобы вместо желаемого результата не получить обратный.
Вот некоторые из домашних средств, которые наиболее часто используются для борьбы с зубным налетом и улучшения здоровья полости рта:
Жевательная резинка

Это несколько спорный вопрос, однако недавно проведенное исследование показывает, что жевательная резинка без сахара действительно помогает уменьшить образование зубного налета.
Достаточно просто немного пожевать ее после каждого приема пищи для того, чтобы все остатки пищи, которые скопились во рту, легко «отделились» от зубов. Так их будет намного легче удалить полностью при помощи зубной щетки.
Пищевая сода

Когда вы собираетесь чистить зубы, добавьте на щетку небольшое количество обыкновенной пищевой соды (только совсем чуть-чуть).
Сода обладает способностью растворять все пищевые остатки, которые скопились на поверхности зубов, а также имеет и отбеливающий эффект.
Только не забывайте, что содой нельзя злоупотреблять, можно чистить так зубы раз в неделю перед сном (не чаще), а количество соды при чистке должно быть минимальным.
Лимон

Лимонный сок также является превосходным домашним средством для борьбы с зубным налетом и даже с зубным камнем.
Кислотность лимона обладает так называемыми абразивными свойствами, которые позволяют глубоко очистить всю полость рта. Кроме того, лимон способствует отбеливанию зубов и их естественному блеску, а еще улучшает запах изо рта.
Чтобы постепенно свести на «нет» образование зубного налета достаточно использовать лимон один раз в неделю, чаще этого делать не стоит, чтобы не повредить зубную эмаль и не получить обратный эффект.
И помните..!
Чтобы очистить зубы, отбелить их и предотвратить развитие различных заболеваний полости рта, существует не так уж много домашних средств.
По этой причине лучшее, что мы можем сделать для здоровья своих зубов, это не пренебрегать посещением стоматолога, делать это желательно хотя бы раз в 6 месяцев:профессиональная чистка зубов позволяет полностью удалить все вредные вещества и предотвратить появление зубного налета.


