Каждый, кто когда-либо видел инструкцию на какое-либо лекарство, знаком со многими побочными эффектами, которые оно потенциально может вызвать, потому что производители обязаны сразу же выложить информацию о них, чтобы избежать неприятного судебного процесса, если их продукт вдруг убьет кого-нибудь. Большинство из этих возможных побочных эффектов достаточно стандартны, например, головокружение, диарея, или серьезные неполадки в работе какого-либо органа.
Однако, как мы говорили Вам раньше, существует множество побочных эффектов, которые не вызывают "раздражающей сыпи", а превращают Вас просто в героя фильма ужасов, и все они вызваны довольно распространенными лекарствами.
"Риспердал" может увеличить грудь у мужчин (и вызвать диабет)

Риспердал является популярным препаратом, используемым для лечения биполярного расстройства и шизофрении. Также этот препарат лечит депрессию, а Вы все знаете, что у всех препаратов от депрессии есть побочный эффект под названием "депрессия", но Риспердал решил к этому добавить очень необычных эффект, вследствие которого у мужчин, употребляющих его, вдруг начинает расти грудь, как будто их прокляла злая колдунья.
Согласно, просто бесконечному потоку судебных исков, которые начали подаваться в период с 2012 года по настоящее время, Риспердал несет очень серьезный риск развития гинекомастии, иначе говоря, роста мужских молочных желез, вероятность чего была героически преуменьшена производителем препарата.
В 2006 году исследователи изучали влияние препарата на группе из 10 подростков, как мальчиков, так и девочек. Из тех 10, у троих мальчиков начала расти грудь и две девушки начали вдруг выделять молоко. И хуже того, недавнее исследование показало, что подростки, принимающие антипсихотические препараты (в том числе Риспердал) в три раза увеличили риск развития сахарного диабета 2 типа в течение первого года употребления препарата.
Джонсон & Джонсон, производитель препарата, якобы был в курсе этих побочных эффектов с 1990 года, но решил все равно поставить продукт на рынок, потому что сложно позволить риску диабета и клиническим испытаниям среди 1885 детей, показавшим, что у 2 процентов из них спонтанно начала расти грудь, встать между Вами и $ 24 миллиардами долларов прибыли.
Лекарство от рака может заставить Ваши отпечатки пальцев исчезнуть

В 2009 году американские иммиграционные чиновники задержали 62-летнего мужчину, пытающегося въехать в страну под видом "посещения" своих "родственников". Бдительные сотрудники аэропорта раскусили его гнусный заговор против великой и демократичной Америки, после того как он провалил осмотр отпечатков пальцев. И оказалось, что он не просто полностью невиновен в любой террористической угрозе, он был на самом деле тем, кем он и утверждал - пожилым больным раком мужчиной, который пытался навестить американских родственников. Просто ему пришлось принимать лекарства от рака, которые стерли его отпечатки пальцев.
Препарат, под названием "Капецитабин", используется для лечения многих видов рака (молочной железы, гортани, головы, кишечника, и т.д.), но, к сожалению, имеет распространенный побочный эффект, известный как синдром руки-ноги. Он проявляется во множестве страшных симптомов, включая отек, дизестезию (когда Ваши нервы вызывают неправильное ощущение от прикосновения, например, чувство боли или ожога, когда Ваша кожа соприкасается с обычной поверхностью), и гиперпигментацию (когда Ваша кожа становится темной и пятнистой). В конце концов, могут появиться волдыри, и большие участки Вашей кожи могут просто покинуть Ваше тело. Это касается и кожи на кончиках Ваших пальцев, то есть, таким образом, Капецитабин может буквально лишить Вас отпечатков пальцев.
Помимо очевидных ужасов, перечисленных выше, потеря Ваших отпечатков пальцев является серьезным препятствием, особенно если Вы иммигрант или тот, кто часто путешествует в другие страны. США проверяет отпечатки пальцев у людей, прибывающих из зарубежных стран в течение многих лет, чтобы убедиться, что они не террористы. Другие страны используют биометрические паспортные системы, которые среди прочего, включают функцию идентификации по отпечаткам пальцев.
Даже если Вы никогда не собираетесь покидать свою страну, потеря своих отпечатков все еще может вызвать у Вас сложности. Биометрическая система безопасности - новая популярная причуда. Но, тем не менее, сканирующий отпечаток пальца iPhone имеет альтернативную возможность разблокировать его ... пока у Вас еще есть отпечатки.
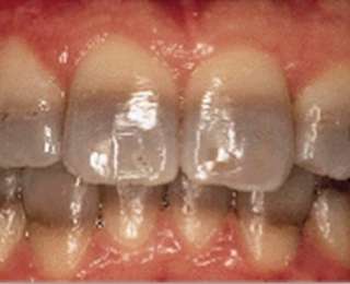
Тетрациклин может превратить Вашу улыбку в обесцвеченный кошмар

Ваши юношеские годы – одни из самых непростых в Вашей жизни. Вы начинаете замечать людей, которых Вы считаете привлекательными, у Вас начинают расти волосы в новых и труднодоступных местах, и у Вас появляется достаточно прыщей, чтобы Вы могли косплеить библейскую чуму. К счастью, каждый ученый-медик прошел через этот этап, поэтому у Вас сейчас есть множество лекарств от прыщей.
Они включают в себя тетрациклин, ветеран-антибиотик по борьбе с прыщами уже на протяжении шести десятилетий, для того, чтобы эмоционально уязвимые подростки могли быть больше похожи человека, а не на монстров из ужастика. Тем не менее, хотя тетрациклин может очистить Вашу кожу, он также имеет неприятный побочный эффект, благодаря которому кажется, что Ваш рот полон грязи:

Эта ужасающая улыбка возникает примерно у 3-4 процентов больных. Об этом побочном эффекте известно с 1956 года, когда появились первые сообщения о детях, у которых зубы стали как у стариков (так как это происходит при любом использовании антибиотика, будь то прыщи или что-нибудь еще). Для решения этой проблемы были разработаны различные производные от этого препарата, и появились такие препараты как миноциклин ... которым даже удалось увеличить частоту появления черных зубов у всех его потребителей.
Что еще хуже, вероятность того, что Ваши зубы превратятся в слоеный пирог, сильно возрастает, если Вы используете тетрациклин в течение длительного периода времени, что как раз относится к курсу лечения от прыщей, которое может занять до 12 недель. И да, это обесцвечивание потом не проходит. Если прыщи можно замазать купив крем в www.roskosmetika.ru, то с зубами крема не прокатят. Если Вы не готовы вкладывать средства в восстановление, ваши новенькие лакричные зубки станут неотъемлемой частью Вашей личности, о чем каждый подросток, страдающий от прыщей, конечно, просто мечтает.
Лекарства от слабых костей могут привести к перелому самых крепких костей

Вы наверное знаете, что остеопороз - это болезнь, которая приводит к тому, что кости пожилых людей могут сломаться от самого незначительного повода, например, прыжка котенка или нежного дуновения ветерка. Поэтому было бы разумно ожидать, что предназначенные для лечения остеопороза лекарства, такие как Фозамакс, не будут включать в список побочных эффектов "беспричинный перелом костей бедра" в списке возможных побочных эффектов. И Вы удивитесь, что препарат Фозамакс, который назначают во время курса лечения отпотери костной массы, может привести к переломам Ваших костей.
Немного предыстории: Фозамакс долго считался лучшим препаратом для лечения потери костной ткани, благодаря креативному маркетингу и готовности врачей выписывать его для людей, страдающих от каких-либо проблем с костями, независимо от серьезности их состояния. Он стал настолько популярным, что его продавали на $ 3 миллиарда в год до того, как его патент истек в 2008 году, и его конкуренты стали набирать популярность. Тем не менее, вероятно, произошла путаница слов «лечить» и «калечить», и Фозамакс приводил к тому, что кости бедер становились более хрупкими (а они считаются самыми крепкими костями в организме человека), пока они не становились восприимчивыми к переломам по самым нелепым причинам, которые традиционно случались лишь у героев мультфильмов. Одна женщина сломала бедро, прыгая через скакалку со своими детьми, в то время как другая просто неудачно шагнула назад.
Справедливости ради стоит отметить, что эти случаи были относительно редки и, по большей части, происходили только у женщин после менопаузы. Тем не менее, тысячам потребителям Фозамакс было достаточно перелома ног, чтобы подать судебные иски против производителей препарата, потому что самое последнее, что Вы ожидаете от своего лекарства для лечения костей, это чертов перелом этих костей.
"Abilify" может вызвать у Вас танцевальную чуму

Abilify - это препарат, изначально предназначенный для лечения шизофрении, и который в настоящее время является одним из самых популярных методов лечения биполярного расстройства и других депрессивных расстройств в США, потому что его производители, видимо, посчитали, что на одной только шизофрении много денег не заработаешь. Так как он был одобрен для широкого использования Управлением по контролю за продуктами и лекарствами США в 2005 году, продажи Abilify увеличились в два раза, а препарат стал одним из основных у целой кучи психиатров.
Единственная проблема заключается в том, что Abilify может вызывать акатизию, нервозность, которая практически не дает Вам спокойно усидеть на месте. Один пострадавший описывает ее следующим образом:
"Я начал ходить взад и вперед и не мог остановиться. Я просто ходил по комнатам в течение трех дней подряд. Я был в отчаянии, хотел облегчения и понял, что для моей безопасности мне нужно быть госпитализированным в течение этого времени."
По сути, это вызванная лекарством версия танцевальной чумы. К счастью, Вы можете положить конец этой бесконечной дискотеке, прекратив принимать Abilify ... кроме, конечно, тех случаев, когда акатизия упорно продолжается даже после того, как Вы перестаете употреблять Abilify. Рекламные ролики Abilify аккуратно касаются этой темы, без заявлений в духе "Вы можете вдруг оказаться не в состоянии остановиться", но призывают "поговорить с врачом о неконтролируемых движениях мышц, так как они могут стать постоянными."
Хуже того, Abilify не особо хорош при лечении биполярного расстройства. Во время исследования, которое в конечном итоге привело к тому, что препарат был одобрен Управлением по контролю за продуктами и лекарствами, было выяснено, что менее одной пятой участников фактически закончили свой курс лечения. Кроме того, исследование было профинансировано производителем препарата и его маркетинговым коллегой. Психиатр и исследователь из Гарварда Александр С. Цай даже называет широкое использование препарата "полной ошибкой в области психиатрии США". Таким образом, Вы все еще можете оставаться в депрессии, но к тому же приобретете неврологическую неспособность остановить свои движения.
Мирапекс может по сути превратить Ваш мир в фильм ужасов

Болезнь Паркинсона является дегенеративным заболеванием, о котором мы еще очень мало знаем, как и его точную причину. Тем не менее, наука достигла огромных успехов в попытке контролировать болезнь Паркинсона, одним из которых является препарат под названием Мирапекс, предназначенный для лечения симптомов болезни Паркинсона. К сожалению, Мирапекс имеет вторую, совсем непредусмотренную функцию. Оказалось, что этот препарат забрасыват своих потребителей в другое измерение, где реальность является плодом чужого воображения.
Мирапекс может вызывать яркие реалистичные галлюцинации, которые значительно различаются от потребителя к потребителю. Некоторые люди наблюдают странные вещи краем глаза, в то время как другие описывают, что видят двумерных существ и человеческие фигуры, состоящие полностью из теней. Третьи вступают в споры с миниатюрными человечками, которые беспокоят их. И это лишь галлюцинации. Мирапекс обладает перечнем ужасающих побочных эффектов, в том числе: тошноту, потливость, бред, обмороки, боли, тремор, подергивание, неконтролируемые движения различных конечностей (симптом, который присущ этой болезни, и который этот препарат должен был контролировать), и необычно окрашенную мочу (для полного комплекта, видимо).
Учитывая все эти потенциальные побочные эффекты, преследующие Вас, можно предположить, что Вы так же можете увидеть кошмарную галлюцинацию в виде чудища, выпрыгивающего из Вашего шкафа и бьющего Вас, пока Ваша моча не станет коричневого цвета, и Вы не почувствуете боль. Затем, Вы испытаете волну тошноты, только затем чтобы проснуться позже и испытать снова все это уже с другими галлюцинациями. Таким образом, получается просто бесконечная карусель ужаса.
Болезнь Паркинсона - довольно страшная болезнь, поэтому американские фармацевты предположили, что все эти потенциальные риски оправданы, в обмен на испытание некоторого облегчения. Тем не менее, Мирапекс также назначают для лечения синдрома беспокойных ног, сравнительно безвредного состояния, которое встречается у 10 процентов взрослых американцев.


