НЕВЕРОЯТНЫЙ СЛУЧАЙ ПРОИЗОШЕЛ В ГОНКОНГЕ — девочка, родилась беременной двойней.
Состояние ребенка, известное в медицине как «эмбрион в эмбрионе», невероятно редкое. До сих пор неизвестно, как это могло произойти.
«Что-то происходит в начале беременности, чего мы просто не можем объяснить, — рассказал доктор Дрэйон Берч, акушер-гинеколог из Питтсбурга. — Это одна из медицинских загадок».
Всемирная организация здравоохранения считает, что крошечные плоды, найденные в теле младенца, являются своего рода опухолью, или тератомой, а не нормальным развивающимся плодом.
Но лечащие врачи маленькой девочки считают, что крошечные эмбрионы могли быть остатками двойни, которая была поглощена во время беременности.

Незамеченные
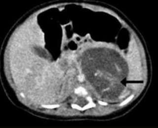
Когда только начались проблемы со здоровьем новорожденной, ее передали доктору Ю Кай-ману, акушеру-гинекологу, работающему в Больнице Королевы Елизаветы в Гонконге, заподозрив наличие опухоли у младенца. Перинатальный ультразвук обнаружил в теле ребенка необычную массу, но врачи не могли понять, что это. Когда девочке было всего 3 недели, была проведена операция, и хирурги обнаружили два плода, находившихся между ее печенью и почками.
Один плод весил 9,3 грамма, другой — 14,2 грамма, что соответствовало примерно 8–10 неделям беременности. Каждый эмбрион был присоединен к плаценте девочки пуповиной.
«Очевидно, что малышка была слишком маленькой, чтобы вынашивать своего собственного ребенка. Скорее всего, она была одной из тройни. Затем по непонятным причинам плоды были поглощены оставшимся ребенком. Но эмбрионы не прекращали расти, однако нормально развиваться уже не могли», — как сказал Берч.
Исчезающие близнецы?
«Эмбрион в эмбрионе» на самом деле может быть простым явлением, известным как «синдром исчезнувшего близнеца», — считает Берч.
В медицинской литературе встречаются 200 таких случаев. В 2006 году в Пакистане из двухлетней девочки удалили два плода. Об этом сообщили на NBC News. А в 2011 году в ходе серьезной операции удалили плод 18-летнему юноше, который носил его в себе, даже не догадываясь об этом.
В редких случаях плоды умирают в утробе матери, кальцинируются и превращаются в камень. В августе 2014 года в Индии прошла операция по удалению литопедиона, или окаменелого ребенка, которого на протяжении 36 лет женщина носила в себе. В 60 лет она пошла к врачу с жалобами на боли в животе, тогда все и обнаружилось.


